“`html

Typically, the brain possesses “regulatory mechanisms” that sift through the majority of brain operation aspects from our conscious awareness.(Image credit: Henry King via Getty Images)ShareShare by:
- Duplicate link
- X
Share this articleJoin the conversationFollow usAdd us as a preferred source on GoogleNewsletterSubscribe to our newsletter
What transpires as we truly die — when our heartbeat ceases and every electrical impulse goes to “zero” in our brain?
Humankind has been posing this query from the start of time. It’s a problematic one considering the departed don’t usually get in touch with us about the characteristics of what they undergo. Religious scriptures can offer many explanations. However, scientists haven’t quit on delivering their own collection of answers, and they are achieving some advancement in more completely comprehending the mind’s method of shifting from existence to non-existence.
Recently, this has been made feasible because of investigation that has observed the brains of subjects in their last moments. Some among these individuals have had the ability to detail what they went through. As indicated by findings revealed on Sept. 14 in the journal Resuscitation, the motionless minds of some cardiac arrest sufferers erupted with a surge of action during CPR, despite their hearts ceasing to beat for up to an hour. A limited segment of research volunteers who survived were able to remember the occurrence, and a solitary individual could pinpoint an auditory input that played while doctors were attempting to bring them back.
You may like
-

What’s the maximum time someone has been technically dead — but then returned to life?
-

Researchers are creating a ‘self-steering’ gadget that supports people in recovering from heart incidents
-

Study reveals why the mind ‘blanks out’ when you’re weary
The scientists consider the brain recordings they secured of these individuals as indications of “clear, remembered experiences of dying” — an observation that “has never been achievable before,” claims chief investigator Dr. Sam Parnia, a professor of medicine at NYU Langone Health and a veteran researcher of what occurs to people when they are passing. “We’ve additionally had the capacity to offer a logical, mechanistic account for why this transpires.”
“Remembered experiences of death” — an expression Parnia favors in place of “near-death experiences” for exactness — have been reported throughout diverse cultures throughout documented history. Some Western scientists previously brushed off such accounts as visions or daydreams, but lately, a small number of research groups have commenced giving more intense consideration to the occurrences as a means to scrutinize awareness and shed light on the puzzles of demise.
In the current investigation, Parnia and his associates aimed to unearth a biological hallmark of remembered experiences of dying. They joined forces with 25 hospitals, chiefly in the U.S. and the U.K. Medical staff members employed portable devices that might be put on the heads of subjects who were undergoing a cardiac crisis to gauge their brain oxygen tiers and electrical actions without meddling with their medical assistance. The scientists additionally examined for cognizant and unconscious perceptions by putting headsets on patients that played a frequent recording of the names of three fruits: banana, pear and apple. Concerning unconscious learning, a person who doesn’t recall listening to these fruit names yet is asked to “arbitrarily envision three fruits” may still produce the correct solution, Parnia claims. Prior investigation has demonstrated, for instance, that even subjects in a profound coma can unconsciously commit to memory the names of fruits or locations if those words are murmured in their ear.
Of the 567 aggregate patients, just 53 pulled through. The scientists conducted interviews with 28 of the survivors. They additionally interviewed 126 people from the community who had experienced cardiac arrests on the grounds that the sample size of survivors from the current investigation was really limited. Nearly 40% reported some sensed awareness of the incident without concrete memories connected, and 20% seemed to have had a remembered experience of dying. A large number of in the latter group characterized the occurrence as a “moral assessment” of “their entire existence and the way they’ve handled themselves,” Parnia claims.
You may like
-

What’s the maximum time someone has been technically dead — but then returned to life?
-

Researchers are creating a ‘self-steering’ gadget that supports people in recovering from heart incidents
-

Study reveals why the mind ‘blanks out’ when you’re weary
He and his colleagues have formulated a functional theory to clarify their conclusions. Typically, the brain possesses “regulatory systems” to filter the majority of facets of brain function out from our conscious experience. This empowers people to efficiently function in the world, as a result of under normal instances, “you wouldn’t have the capacity to operate with access to your whole brain’s action being in the scope of awareness,” he expresses.
In the dying mind, nevertheless, the scientists speculate that the regulatory system is detached. Portions that are usually inactive turn out to be activated, and the dying individual gains admittance to their total awareness — “all your thoughts, all your memories, everything that’s been archived previously,” Parnia expresses. “We don’t understand the evolutionary benefit of this, but it seems to get individuals all set for their shift from existence into non-existence.”
RELATED STORIES
—Near-death occurrences might stem from the mind merging wakefulness and dreamlike states, investigation hints
—Does drinking Ayahuasca genuinely resemble a near-death occurrence?
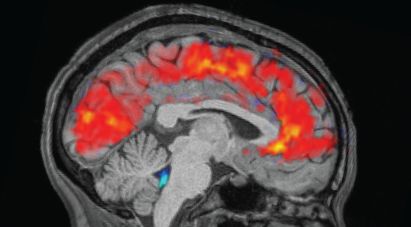
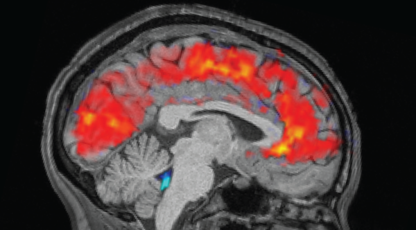
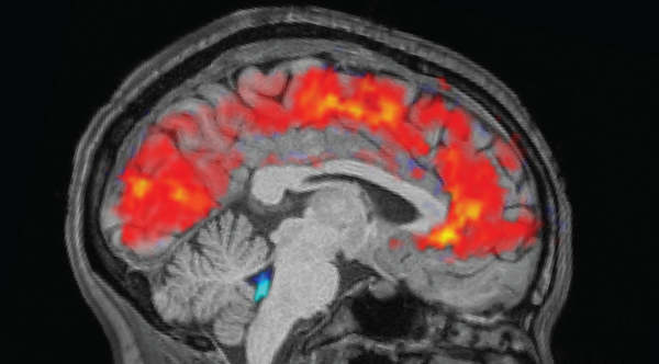
—First-ever scan of a fading human mind reveals existence might actually ‘flash before your eyes’
The conclusions additionally raise questions concerning the brain’s strength to oxygen loss. It might be, Parnia says, that some people who’ve conventionally been considered to be beyond the stage of rescuing could truly be resuscitated. “The age-old reasoning among physicians is that the mind, as soon as robbed of oxygen for five to 10 minutes, ceases to function,” he expresses. “We could demonstrate that the mind is fairly robust in terms of its capability to stand up to oxygen loss for lengthened periods of time, which unlocks new avenues for discovering treatments for brain impairment later on.”
The current investigation “signifies a Herculean attempt to comprehend as objectively as feasible the essence of brain function as it might apply to awareness and near-death experiences during cardiac arrest,” expresses Dr. Lakhmir Chawla, an intensive care unit physician at Jennifer Moreno Department of Veterans Affairs Medical Center in San Diego, California, who had no part in the investigation but has published papers on spikes of EEG action at the time of death in some patients.
While the outcomes Parnia and his associates document are “impressive” from a scientific perspective, “I believe that we ought to allow these data to additionally enlighten our human nature,” he includes. To begin with, the conclusions ought to “motivate medical professionals to treat patients who are getting CPR as if they’re alert,” which is something “we seldom do.”
And for those people who seem to be beyond saving, Chawla says, physicians might encourage their relations to come in to say goodbye, “as the patient might still be able to perceive them.”
This piece was first distributed at Scientific American. © ScientificAmerican.com. All rights reserved. Follow us on TikTok and Instagram, X and Facebook.
Rachel NuwerSocial Links Navigation
Rachel Nuwer is an independent science journalist and writer who routinely gives rise to Scientific American, the New York Times and National Geographic, among other publications.
Read more

What’s the maximum time someone has been technically dead — but then returned to life?

Researchers are creating a ‘self-steering’ gadget that supports people in recovering from heart incidents

Study reveals why the mind ‘blanks out’ when you’re weary

‘As if a shudder ran from its brain to its body’: The neuroscientists that learned to control memories in rodents

How do our brains wake up?

The evolution of life on Earth ‘almost predictably’ led to human intelligence, neuroscientist says
Latest in Death

What’s the maximum time someone has been technically dead — but then returned to life?
